Diseño de sonrisa
Testimonio All on four
Testimonio Odontologia Estética
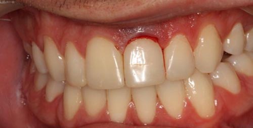
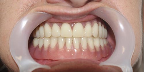
Paciente trauma dental
Testimonio sobredentadura